Advanced Liver Care Through Minimally Invasive Precision
Offering life-saving procedures and targeted therapies for complex liver conditions, portal hypertension, and liver cancers.
Specialized Care for Your Liver and Biliary System
The liver is your body’s essential processing plant, and its health is vital. When conditions like cirrhosis, portal hypertension, or liver cancer arise, they require highly specialized, nuanced care. Dr. Akash Bansal is an expert in Hepatobiliary Interventions, a sophisticated field of Interventional Radiology dedicated to treating these complex issues without major surgery. Using real-time imaging guidance, we perform procedures that manage dangerous complications, prepare patients for curative surgery, and directly treat liver tumors, all through tiny incisions that promote faster recovery and preserve organ function.
Our Advanced Hepatobiliary Solutions
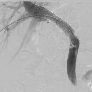
1. TIPS Procedure & TIPS Reduction
The Problem: Severe liver cirrhosis can cause critically high blood pressure in the portal vein (portal hypertension), leading to life-threatening complications like variceal bleeding or stubborn fluid buildup in the abdomen (ascites) that doesn’t respond to medication.
Our Solution: The TIPS (Transjugular Intrahepatic Portosystemic Shunt) procedure creates a new channel within the liver to divert blood flow and reduce this dangerous pressure. If the shunt becomes too wide and causes complications, a TIPS Reduction procedure can be performed to adjust its size and restore balance.
Patient Benefit: A life-saving intervention for uncontrolled bleeding and a highly effective treatment for debilitating ascites.
2. BRTO / PARTO Procedure
The Problem: Gastric varices (dilated veins in the stomach wall) have a high risk of severe, often fatal, bleeding and are difficult to treat with standard methods.
Our Solution: BRTO (Balloon-occluded Retrograde Transvenous Obliteration) and its modern variant PARTO (which uses a plug instead of a balloon) are techniques to block and fill these fragile veins with sclerosing agent, causing them to clot and shrink.
Patient Benefit: A targeted, minimally invasive solution to prevent and treat life-threatening bleeding from gastric varices.
3. Portal Vein Embolization (PVE)
The Problem: A patient requires surgical removal of a large portion of the liver due to cancer, but the remaining liver is too small to support life after the operation.
Our Solution: We deliberately block the portal vein branch feeding the part of the liver to be removed. This redirects blood flow to the future remnant liver, causing it to grow larger and stronger—a process called liver regeneration.
Patient Benefit: Makes complex liver surgery safer by ensuring the remaining liver is adequate, significantly reducing post-operative risks.
4. Portal Vein Stenting
The Problem: A blockage or narrowing in the main portal vein, often due to a tumor or clot, which impairs blood flow to the liver and can cause portal hypertension.
Our Solution: A metal stent (a mesh tube) is placed inside the narrowed or blocked section of the portal vein via a minimally invasive approach. The stent expands to hold the vein open, restoring vital blood flow.
Patient Benefit: Relieves portal hypertension and its symptoms, and is crucial for liver function in patients with certain cancers.
5. Trans-Jugular Liver Biopsy (TJLB)
The Problem: A patient needs a liver tissue sample for diagnosis, but has a bleeding disorder, significant fluid in the abdomen (ascites), or a liver that is difficult to access percutaneously.
Our Solution: A biopsy needle is passed through a vein in the neck (jugular vein) down into the liver to safely obtain a tissue sample, avoiding the liver’s capsule and minimizing bleeding risk.
Patient Benefit: The safest method for obtaining a definitive liver diagnosis in high-risk patients.
6. RFA/MWA/Cryoablation of Liver Cancers
The Problem: Primary liver cancer (HCC) or metastatic tumors in the liver that need to be destroyed.
Our Solution: Under precise image guidance, a thin probe is inserted directly into the liver tumor. The tip then emits energy—Radiofrequency (RFA), Microwave (MWA), or extreme cold (Cryoablation)—to completely destroy the cancerous cells.
Patient Benefit: A scarless, “non-surgical surgical” option that eradicates tumors while preserving maximum healthy liver tissue. It can be curative for early-stage cancers or provide effective local control.
Why Choose Interventional Radiology for Hepatobiliary Care?
Minimally Invasive Alternative: These procedures offer a critical alternative to high-risk open surgeries, performed through tiny needle punctures.
Life-Saving Capability: Procedures like TIPS and PTBD are often the only option for patients in critical condition, providing a vital bridge to recovery or transplant.
Organ Preservation: Our focus is on treating the complication while preserving as much liver function as possible.
Collaborative Approach: We work seamlessly with your hepatologists, gastroenterologists, and transplant surgeons to provide integrated, comprehensive care.
Frequently asked questions
Not always. While it may be needed long-term for an inoperable blockage, it often serves as a temporary measure to relieve jaundice until a permanent solution, like a stent placement or surgery, can be performed.
While highly effective for controlling bleeding and ascites, a TIPS shunt can sometimes affect the liver’s ability to filter toxins, which may lead to or worsen hepatic encephalopathy. This risk is carefully managed with medication, and the procedure is only recommended when the benefits outweigh the risks.
Patients typically stay in the hospital for a few days for monitoring. Recovery is significantly faster than with surgical shunts, with most patients able to return to light activities within a week or two.
BRTO is typically for patients with bleeding gastric varices who have a specific type of draining vein (a gastrorenal shunt) that we can access. Dr. Bansal will review your imaging to determine if BRTO is the best option for you.
Yes, all these hepatobiliary interventions are well-established, life-saving standard-of-care procedures and are covered by major insurance providers.

